| Heart | Slide 47 (Masson's trichrome) |
|
The slide of the heart is a section through a portion of the heart. The red square in the diagram illustrates the area of the heart the section was taken from.
Diagram 1 |
| Orientation with respect to the structures on slide. |
|---|
|
The following diagram is a representation of the structures and their positions on the slide.
Orientate yourself with respect to the slide by holding the slide up to the light and identifying the same structures named in diagram 2.
Diagram 2 |
|
Diagram 3 |
| Microscopic structures of the Heart |
|---|
| Structures of the myocardium |
|---|
|
On your own slide identify the same structures to get a correct location and size of these structures under the microscope:
Masson's trichrome stain, stains muscle purple-red and connective tissue elements green while nerve components stain a lighter purple-red. |
|---|
|
A low magnification of the components of the myocardium.
Fig 47-001 |
|
A higher magnification of the different components of the myocardium
Fig 47-002 |
|
What is the connective tissue surrounding the heart muscle fibers called?
With what does this connective tissue connect on the inside and outside of the myocardium? |
| Structure of the nerve components |
|---|
|
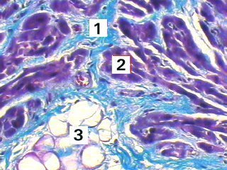
A low magnification of the nerve components of the heart.
Fig 47-003 |
|
A high magnification of the nerve components demonstrating the cardial neurons.
Fig 47-004 |
| In which layer of the heart is the structure marked 1 & 2 in Fig 47-004 generally found? |
| Structure of the valves |
|---|
|
A low magnification demonstrating the origin of the valve as an endocardial fold.
Fig 47-005 |
|
A very high magnification demonstrating the structure of the semilunar valve.
Fig 47-006 |
| Structure of the endocardium |
|---|
|
A high magnification demonstrating the layers of the endocardium.
Fig 47-007 |
| Structure of the aorta |
|---|
|
A low magnification at the start of the aorta demonstrating the structure of the tunica
medica stained with Masson's trichrome (The tunica intima is not clearly visible and the
adventitia is absent.)
Fig 47-008 |
|
A very high magnification of the tunica media demonstrating the different structures.
Fig 47-009 |
| Memorandum | ||
|---|---|---|
| Clinical Case | Fig 47-001 | Fig 47-002 |
| Fig 47-003 | Fig 47-004 | Fig 47-005 |
| Fig 47-006 | Fig 47-007 | Fig 47-008 |
| Fig 47-009 | ||