back
Fig 47-001
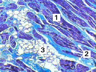
A low magnification of the components of the myocardium.
Fig 047-001 1. Heart muscle
2. Endomysium
3. Fatty tissue
back


© januarie mmi - 202 marius loots