Help
- esc key shows all the slides
- arrows left right advance the slide
- mobile device swipe left right
- slides can go left-right and up-down
- ? gives instant help
- menu bottom left
To save as PDF, see last slide.
How to get the most from the revision slides
- Have a pen & paper ready
- Answer every question
- Attempt to label all slides
- Mark your answer after answering
- Elaborate on each answer
- Add relevant clinical content
- If you have trouble, ask - you know where
Calibration
Community of Truth
What is my answer?
What is the correct answer?
I am am wrong, what was my error?
THUS: Find the truth
Philosophy 1
What is the least amount of work I can do so I can get out of here.
Philosophy 2
Today and Now I will do something for my future self.
Feedback
As I receive questions, I will add some notes here to clarify. Go down to see the content.
VVVVvVVV
Arteries, veins and bile ducts
Arteries has small round lumens, with relatively thick walls.
Veins has large irregular lumens, with relatively thin walls.
Both have endothelium, but it bulges more in arteries.
If you see distinct cuboidal epithelium, it is most likely a bile duct.
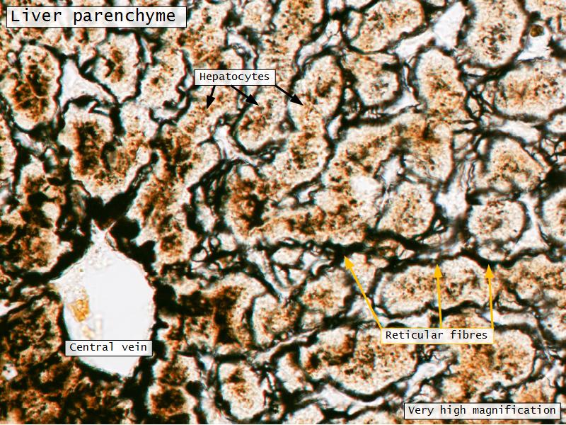
Portal vein vs Central vein
The portal vein is part of the portal triad. It has an associated artery and bile duct. The central vein has no other structures around it, and the endothelium is indistinct. You can most the times also see the sinusoids opening up into the central vein.
- Click the link above
- Print to PDF
Works best using Google Chrome
Others Browser YMMV