• esc key shows all the slides
  • 1arrows left right advance the slide
  • or click on the bottom right icons
  • mobile device swipe left right
  • ? gives instant help
Lymphoid system
Liver
Urinary system
Respiratory system
Skin
How to get the most from the revision slides
  • Have a pen & paper ready
  • Answer every question
  • Mark your answer after answering
  • Elaborate on each answer
  • Add relevant clinical content
  • If you have trouble, ask
Memory is the residue of thought.
...Daniel Willingham

If you are not thinking about the content, it won't stick around.

Pathological Conditions
and
Infectious Diseases
Review
Start?

Slides do not advance on a timer. Page forward when you are ready.

Score each answer you gave using the traffic light system.

  • No idea - red
  • Unsure - yellow
  • Correct - green
Q13: Name 1 epithelium for each of the following:
  • Kidney
  • Liver
  • Spleen
Q20: Yes / No

Are there advantages to writing a test on a subject before any lectures on the content?

You should have scored each answer you gave using the traffic light system. Now mark your answers.
Q13 - Epithelia in these organs:
  • Kidney - cuboidal (tubuli); squamous (glomerulus, blood vessels)
  • Liver - squamous/endothelium (sinusoids); cuboidal (liver parenchyme)
  • Spleen - squamous/endothelium (sinusoids)
Q20: Yes

Writing a test on a subject before any lectures on the content improves retention of the content.
Provided the correct answer are given and explained.

If the student are unsure about any of the answers, it is their responsibility to clarify.

Imagine a needle penetrating skin. Describe the layers up to and including the vein.
What are the different types of injections you might do?
How and why are they different?
List the layers:
Which layers of cells are penetrated?
What do they look like?
What is the function of each layer?
What is the function of each cell type?
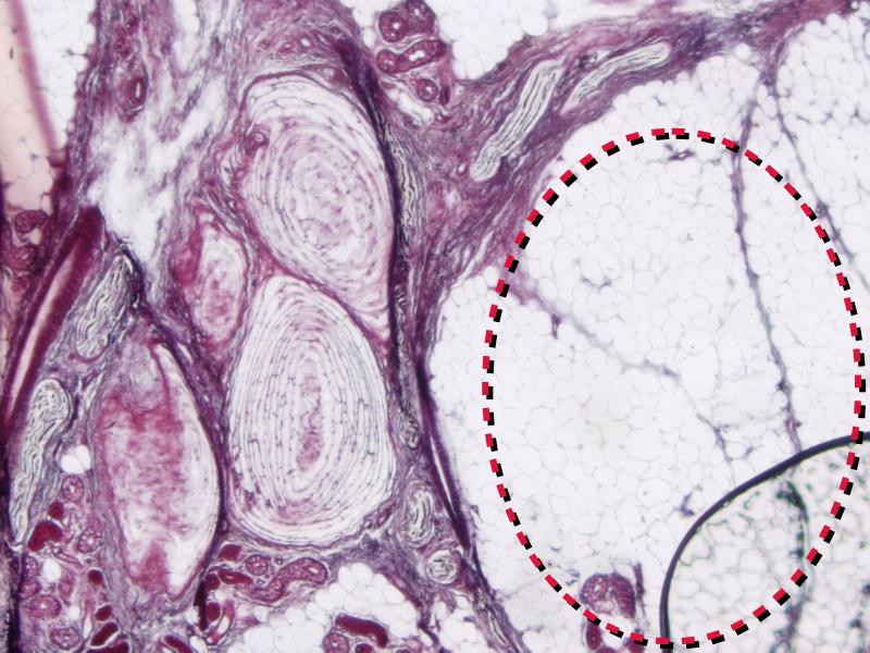
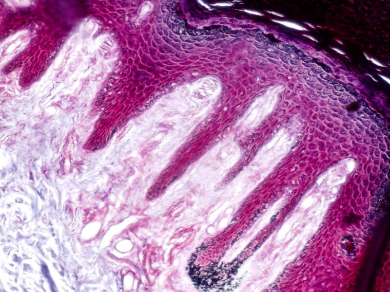
Slide 93: Thick skin - this slide is a section through the skin of the palm of the hand.

View the slides at low magnification. You should be able to see several layers, stained different colours and intensities. For a standard haematoxillin and eosin stained slide, there are three layers:

  • A dark pink to red scalloped area - the epidermis.
  • A central light pink eosinophilic area - the dermis.
  • A very thick light pink area - the hypodermis.
Contextual question:
  • Look at the palm of your hand and fingertips. The thickened outer layer is the outer layer of stratified squamous keratinized epithelium.
  • Compare and describe the visual differences seen between the skin of the palm of your hand, the back of your hand, your forearm and scalp.
  • Make a list of structures you expect to find in skin using the microscope.
Do not skip the contextual questions. If you do, the later bits will not make sense, or you will struggle.
Spleen
Red pulp White pulp
Connective tissue
Sinusoids
Blood
Lymphocytes
Zonal necrosis

Centrilobular

Periportal

Centrilobular

Around the central vein
Acinar zone 3

Due to:
Ischaemia
Drugs

Periportal

Around portal area
Acinar zone 1

Due to:
Hepatitis

Crypts
Lingual Palatine
  • Single
  • Mucous glands
  • Clean
  • Multiple
  • Mucous glands absent
  • Debris get stuck

Barriers

  • Skin - keratin & connective tissue
  • Lymphoid tissue - oral cavity
  • Mucous layer - respiratory system
  • Acid - stomach
3 Epithelia oral cavity
  1. Outside
    • Stratified keratinized squamous
  2. Inside
    • Stratified keratinized squamous
    • Stratified squamous
  3. Bonus
    • Cuboidal - ducts salivary glands
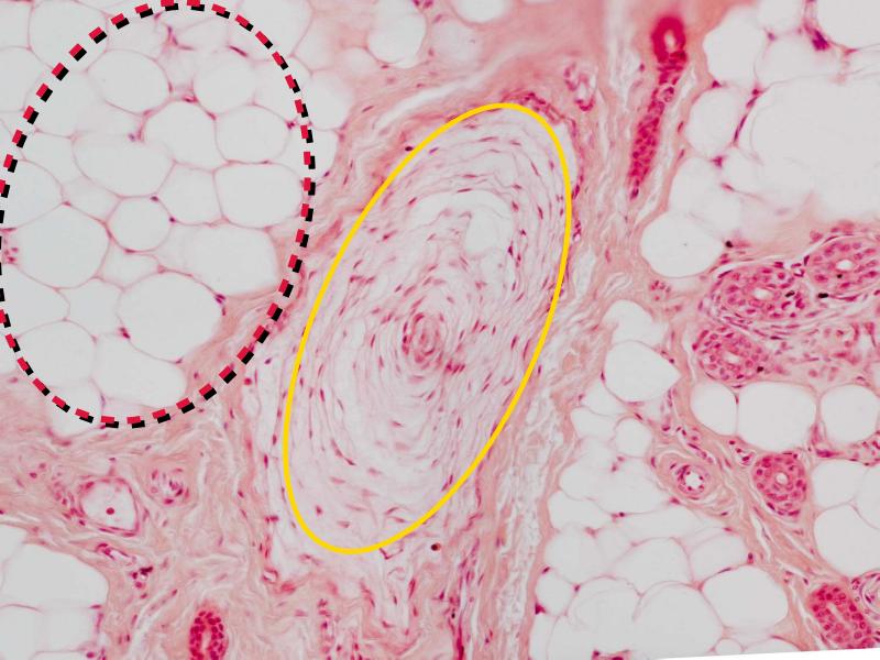
Receptors in skin
  1. Mechano-receptors
    • Pacini
    • Meissner
  2. Pain
    • Free nerve endings
Hassal corpuscle
Structure in the thymus

What looks the same?

Nothing else

Memory is the residue of thought.
...Daniel Willingham

If you are not thinking about the content, it won't stick around.

Reflect:

What did I do today?
What went well for me?
What can I do to improve?
What am I still unsure about?

Conflict
Goals Habits
  • Pass the block
  • Pass the year
  • Acquire a degree
  • Braai
  • What's the least I can do to pass the block
  • Check instagram
How many of my study habits are efficient and NOT wasting time?
Exercise
Exercise
Something is better than nothing, more is better than less.
If you are self-motivated, the UP Gym at Tswelopele is affordable and convenient. For those who need guidance and see visible progression, CrossFit Pretoria is located close to the Sinkhuis and can be highly recommended.

How much? Read this excellent summary at the Mayo Clinic or these easy to follow recommendations.

Canada's newly issued dietary guidelines. Set of very easy to follow principles.
Sleep

6 - 8 hours per day
Brain consolidation takes place
You can't catch up sleep
Yes, you can rest up again, but your brain will have other inputs to filter by the weekend and discards older work.

Those are the 3 lifestyles issues that forms the foundation on which learning rests. There are 3 learning habits essential to retaining knowledge on the long term, and should be applied in all the learning tools you use.
We will now look at the 3 essential learning habits.
Low Stakes Testing
Retrieval
Force
  • Consolidation
  • Prioritisation

Has to be:

  • Low stakes - not for marks or very little
  • Continuous
  • Interspersed with other content

Using old examination papers are ideal. Also, continually create and collect questions.

Spacing
Spacing
Plan when you will repeat work. It is better to work a little every day, and repeat regularly, than a big block before a test.
Interleaving
Interleaving

Create additional connections in the brain
For
Faster and Automatic
Retrieval
That takes place automatically

Learning tools are used to manage and master the content
Select the tool most appropriate for the job and hand, don't hammer everything into submission. There is a real danger of studying too much.
1. Summaries
Mostly what you do in class.
Expand and add using additional sources.

Use pen and paper = high retention
Typed = low retention

2. Mapping
Mind maps
Diagrams

Suited for processes
Example Physiology

3. Drawings
Needs to be annotated!

Example Histology and Anatomy

4. Imagining
You have to interpret flat views in a third dimension, for example X-rays and histology slides.
5. Self-testing
Collect and create a question bank. Flash cards are ideal for this.
6. Self-explanation
Explain the work to yourself, your cat or a teddy-bear. Use the words, and refresh when you get stuck.
7. Teaching
This is working as a group. Beware of labour division.
8. Enacting
Mimic the actions you are studying. Move the muscle, make a pump with your hand and visualise the flow of blood due to muscle contractions.
Those are your 8 tools to use. If it's not on the list, there is a good chance you are doing things that are wasting your time.

For example, High-lighting is NOT on the list. It is a waste of time, and does not help you remember any better.

Reflection
This is an ongoing process that checks the quality of your habits. Am I keeping to the plan? How can I improve?

Ask:
What did I do?
What happened?
How can I improve?

The End

Save Document

  1. Click the link above
  2. Print to PDF

Works best using Google Chrome
Others Browser YMMV