• esc key shows all the slides
  • arrows left right advance the slide
  • mobile device swipe left right
  • slides can go left-right and up-down
  • ? gives instant help
  • menu bottom left
How to get the most from the revision slides
  • Have a pen & paper ready
  • Answer every question
  • Mark your answer after answering
  • Elaborate on each answer
  • Add relevant clinical content
  • If you have trouble, ask

Endocrine System

Meta-learning

Philosophy 1

What is the least amount of work I can do so I can get out of here.

Philosophy 2

Today and Now I will do something for my future self.

Community of Truth

What is my answer?
What is the correct answer?
I am am wrong, what was my error?
THUS: Find the truth
Question A1 to A10

Name 10 endocrine organs

Name 10 endocrine organs
  • Pituitary gland
  • Thyroid gland
  • Parathyroid glands
  • Adrenal glands
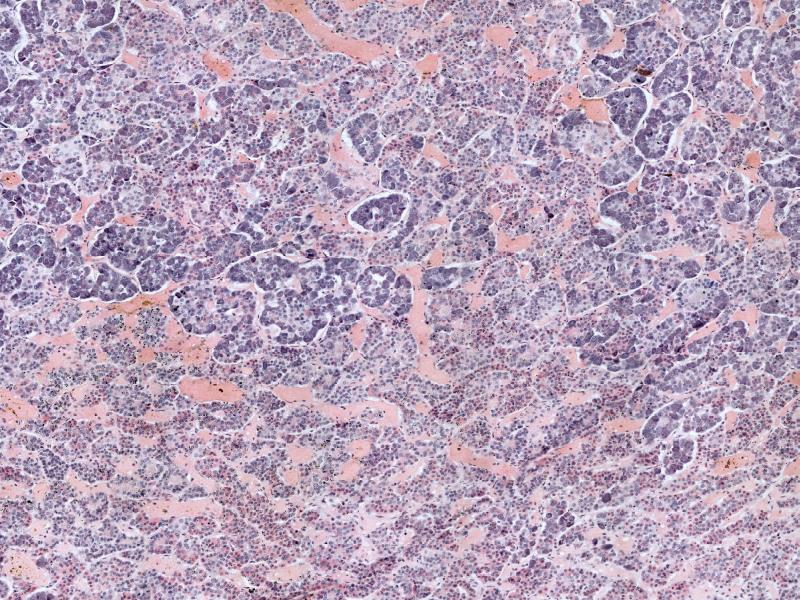
  • Pancreas
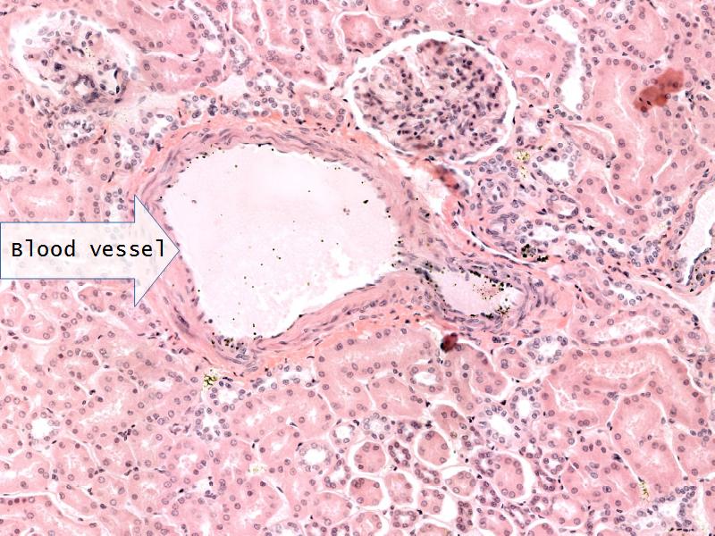
  • Kidney
  • Testis
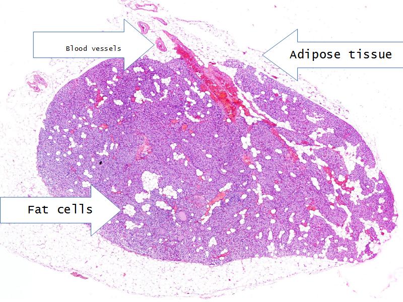
  • Ovary
  • Corpus luteum
  • Pineal gland

Question B1 to B4

For each of the following 4 slides

Which gland is arranged as:

Which hormone is secreted by:


  • C1: Pineal gland
  • C2: Testis
  • C3: Pancreas
  • C4: Thyroid gland

Which hormone is secreted by:

  • C1: Pineal gland = melatonin
  • C2: Testis = testosterone
  • C3: Pancreas = glucagon, insulin, somatostatin, pancreatic polypeptide
  • C4:Thyroid gland = thyroxine, triiodothyronine

Which hormone is secreted by:

  • D1: Leydig cells
  • D2: Oxyphil cell
  • D3: Follicular cell
  • D4: Somatotropes

Which hormone is secreted by:

  • D1: Leydig cells = testosterone
  • D2: Oxyphil cell = none
  • D3: Follicular cell = thyroxine, triiodothyronine
  • D4: Somatotropes = growth hormone

Which cell synthesize:

  • E1: ACTH
  • E2: Oxytocin
  • E3: Vasopressin
  • E4: PTH

Which cell synthesize:

  • E1: ACTH = basophils in the pituitary gland
  • E2: Oxytocin = neurons in the hypothalamus
  • E3: Vasopressin = neurons in the hypothalamus
  • E4: PTH = Chief cells in the parathyroid

In which glands are these cells located:

  • F1: Chromaffin cells
  • F2: Pituicytes
  • F3: Granulosa cell
  • F4: Alpha cells

In which glands are these cells located:

  • F1: Chromaffin cells = adrenal medulla
  • F2: Pituicytes = pars nervosa of the posterior pituitary
  • F3: Granulosa cell = ovarian follicle
  • F4: Alpha cells = pancreas

Give two anatomical relations for each of the following:

  • G1: Thyroid
  • G2: Parathyroid
  • G3: Adrenal glands
  • G4: Pineal gland

Give two anatomical relations for each of the following:

  • G1: Thyroid = anterior neck, below the laryngeal prominence, in front of trachea
  • G2: Parathyroid = anterior neck behind the thyroid gland
  • G3: Adrenal glands = superior poles of the kidneys
  • G4: Pineal gland = in the midline of the brain behind the third ventricle

Question H

Do you have a life list?

Yes | No

Why not?

Start one!

Question H

MBChB

Class of ?

Slides for review

  • Slide 52: Pituitary gland
  • Slide 55: Thyroid gland
  • Slide 54: Parathyroid glands
  • Slide 56: Adrenal glands
  • Slide 50: Pancreas
  • Slide 76: Kidney
  • Slide 84: Testis
  • Slide 89/106: Ovary
  • Slide 91: Corpus luteum
  • Slide 34: Pineal gland

Pituitary gland

How does the pituitary and hypothalamus communicate?

2 ways

Thyroid gland

Four elements making up the thyroid

Thyroid gland

  • Follicle
  • Follicular epithelium
  • Parafollicular cells
  • Colloid
  • Identify them on the next slide

Chief cells = majority

Oxyphil (acidophil) = single/groups

Adrenal glands

Capsule

Cortex - how many zones?

Medulla

Hormones of each?

Pineal Gland

The End

Save Document

  1. Click the link above
  2. Print to PDF

Works best using Google Chrome
Others Browser YMMV