- esc key shows all the slides
- arrows left right advance the slide
- or click on the bottom right icons
- mobile device swipe left right
- ? gives instant help
How to get the most from the revision slides
- Have a pen & paper ready
- Answer every question
- Mark your answer after answering
- Elaborate on each answer
- Add relevant clinical content
- If you have trouble, ask
Exocrine
- Single cell
- Simple
- Compound
- Alveolar
- Tubulo-alveolar
- Tubular
Modes of Secretion
- Merocrine
- Apocrine
- Holocrine
Slide 42 - Colon
Goblet cells
Simple tubular glands
Secretory units
Mucinous
Serous
Secretory units
- Serous
- Protein
- Sticky
- Dark stained
- Mucinous
- Mucin
- Watery
- Light stained
- Mixed
- Both types
- Demi-lunes
Slide 7 - Tongue
Mucinous
Serous demilunes
Slide 39 - Pharyngeal tube
Mucinous
Serous demilunes
Endocrine
- Follicles
- Cords
- Groups
- Islands
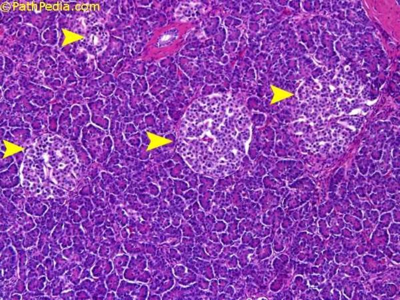
Slide 50 - Pancreas
- Exocrine + Endocrine
- Acinar / Tubulo-acinar
- Simple epithelium of pyramidal serous cells
- Basal basophilia
- Duct starts inside acinus
- Centro-acinar cells
- Endocrine islands
Slide 52 - Pituitary gland
Groups
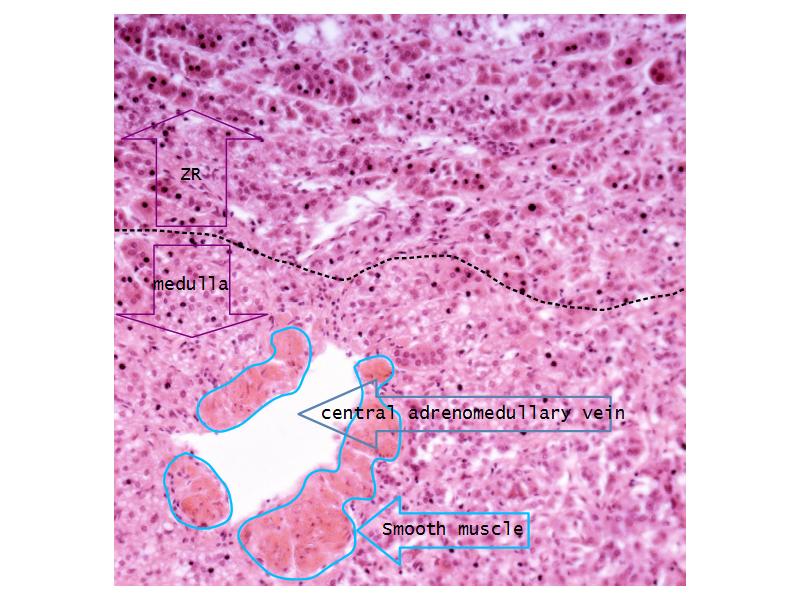
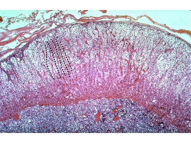
Slide 56 - Adrenal glands
Cords
Slide 55 - Thyroid gland
Follicles
Glandular Epithelium
- Slides
- Exocrine
- 42
- 50
- 39 or 7
- Endocrine
- 50, 52
- 56 & 55
- Click the link above
- Print to PDF
Works best using Google Chrome
Others Browser YMMV