With which organ would you commonly associate cuboidal epithelium?
The ducts of the kidney are lined with simple cuboidal epithelium with small variations along the length of the nephron. Cuboidal epithelium are commonly associated with glands.
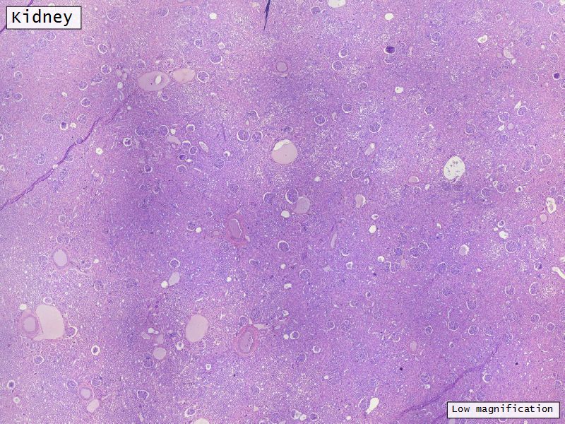
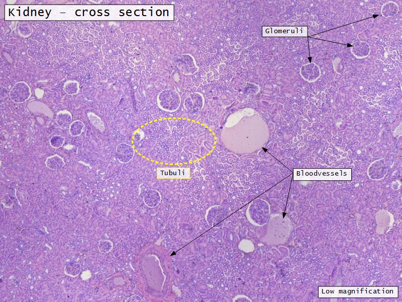
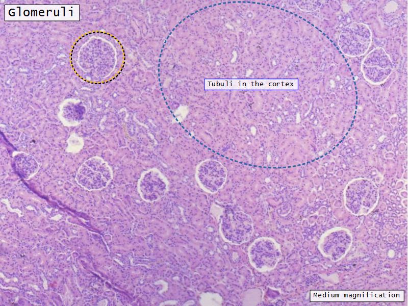
Kidney
Slides 28 & 76
Kidney Objectives
Basic anatomy of the kidney
Basic arrangement of nephrons and collecting tubules in the kidney
Structure of the nephron and collecting tubules
The renal corpuscle
Kidney Tasks
Make an annotated drawing of the macroscopic view of the kidney.
Make an annotated diagram of a nephron, including the juxtaglomerular apparatus. Indicate the flow of blood and water in each part, and how solutes are filtered, secreted and reabsorbed.
Complete the drawings for each slide in the practical workbook.
Kidney
Capsule
Cortex
Medulla
Multilobar
Multilobar
Conical mass (pyramid)
Medullary tissue
capped with
Cortex
Delineated by
Renal columns
Apex of pyramid
Papilla
Projects into renal pelvis
Pyramid
Simple columnar epithelium
Continuous with transitional epithelium
Capsule
Irregular dense CT
Surrounded adipose tissue
Nephron
Unit responsible for
Filtration
Excretion
Resorption
Include
Kidney tubule
Glomerulus
Exclude
Collecting tubule
Nephron
Renal corpuscle
Proximal convoluted segment
Long loop of Henle
Descending portion
Ascending portion
Distal convoluted segment
Appearance
Cortex
Renal corpuscles
Convoluted tubules
Medulla
Loops of Henle
Collecting tubules
Kidney lobule
Group of neprons
Open into branches
Same collecting duct
Not clearly demarcated
Interlobular arteries/veins
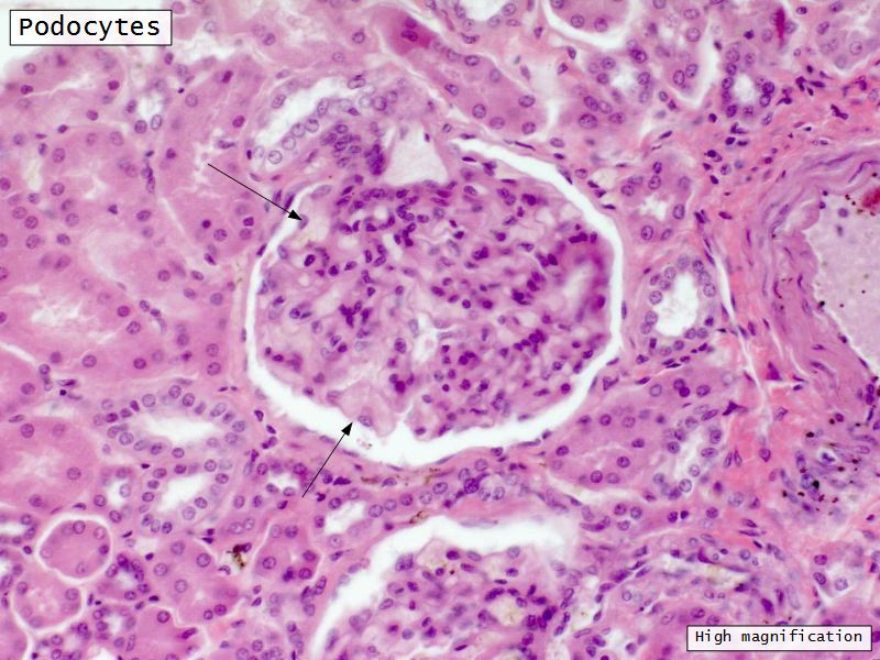
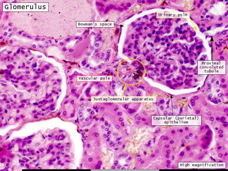
Renal corpuscle
Tuft of capillaries
grow into
Blind end of nephron
Several layers of epithelium
Two sides
Vascular pole
Tubular pole
Blood flow
Efferent arteriole
Smooth muscle in media
Capillaries
Fenestrated
Afferent arteriole
Smooth muscle in media
Epithelium layers
Capillary endothelium
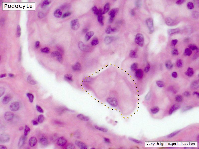
Visceral layer of epithelium
Podocytes
Resting on glomerular basement membrane
Capsular space
Parietal layer of epithelium
Simple squamous epithelium
Glomerular filtration barrier
Three layers
Fenestrated epithelium
Exclude blood cells & platelets
Glomerular basement membrane
Main filtration barrier
Thick
Fused epithelial & endothelial BM
Replenished by podocytes due to removal by mesangial cells
Glomerular epithelium
Through filtration slit
Juxtaglomerular complex
Area where distal convoluted tubule return to glomerulus and pass through the notch between the afferent and efferent arterioles. Modification of the wall of the tubule and afferent arteriole and presence of specialised cells in the connective tissue.