back
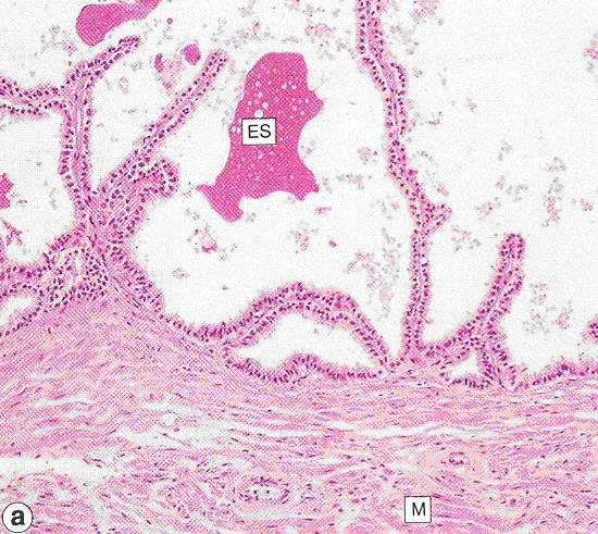
Vesicula seminalis

Seminal vesicle

M: Smooth muscle
ES: Eosinophilic secretion
Source: Stevens and Lowe Figure 17.14 (p. 315)

Licence: Copyrighted

back


© september 2007 marius loots