back

Endocrine glands

Glandular epithelium

Pituitary gland Slide 52 (H & E)

A high magnification of the pars anterior of the pituitary gland demonstrating the arrangement of the glandular cells in groups around the sinusoids.

Fig Fig 52-007
Fig 52-007
Wheater 3rd Ed p.306-307 or 4th Ed p.96

Thyroid gland Slide 55 (H & E)

A magnification of the thyroid demonstrating the arrangement of the glandular cells into follicles.

Fig Fig 55-002
Fig 55-002
Wheater 3rd Ed p.309-311 or 4th Ed p.96

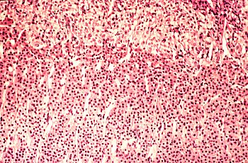
Adrenal gland Slide 56 (H & E)

The following two figures illustrate the structure of the adrenal gland.

A low magnification of the adrenal gland demonstrating the arrangement of the glandular cells into groups and cords around the bloodvessels.

Fig Fig 56-006
Fig 56-006
Wheater 3rd Ed p.314-317 or 4th Ed p.321

Fig Fig 56-007
Fig 56-007


Memorandum
Clinical Case Fig 52-007 Fig 55-002 Fig 56-006

back


© september mm marius loots