The CellThe basic structures common to all cells are illustrated in this electron micrograph of a liver cell.
Fig EM001 |
|
The Cell MembraneAll cells are membrane bound and in this micrograph three cell membranes are shown. This is a very high magnification of the cell membranes. No other organelles are present in this micrograph.
Fig EM002 |
|
|
In the following micrograph which also deals with aspects of the cell membrane, identify the structures that are marked nos. 2 & 4:
Fig EM003 |
|
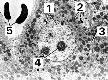
The NucleusThe nucleus contains DNA, RNA and nucleoproteins. In this micrograph the different structures containing these components are illustrated.
Fig EM004 |
|
|
This micrograph is again a section through the nucleus but has been tangentially sectioned i.e. cut obliquely so that certain structures such as the nuclear pores can be seen more clearly.
Fig EM005 |
|
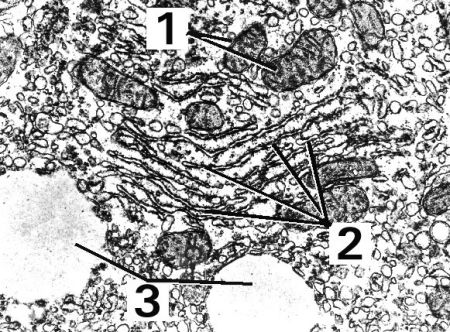
Structures associated with protein and lipid synthesisProteins are a major part of structural components of the cell. Principle organelles involved with protein synthesis are the nucleus and ribosomes. In the following micrograph some of these structures are illustrated.
Fig EM006 |
|
|
The next micrograph illustrates another kind of endoplasmic reticulum. Identify the structures that are marked nos. 1 & 3:
Fig EM003 |
|
Structures that are associated with secretionWithin the compartmentalized cytoplasm various materials are transported around in the cell. A system exists in the cell that transports soluble and membrane proteins from the endoplasmic reticulum to the Golgi.
Fig EM007 |
|
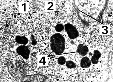
Structure associated with energy production and storageCellular functions depend on a continuous supply of energy. The mitochondria fulfil this function.
Fig EM008 |
|
|
Most cells generate and store glucose and fatty acids where they are used in one form or another such as cellular respiration (glycolysis). In this micrograph some of these structures are illustrated.
Fig EM009 |
|
Structures associated with the cytoskeletonAll cells have a framework of filaments and tubules that supports the cell and is called the cytoskeleton. In cell division the cytoskeleton plays an important role in the formation of the spindles.
Fig EM010 |
|
Motile structures of the cellCertain cells contain motile structures such as cilia or microvilli which beat in a wave-like rhythm moving mucus or fluid or particles in a specific direction. Cilia are demonstrated in the following micrograph.
Fig EM011 |
|
|
Cilia are embedded into a structure called the basal body located adjacent to the cell membrane in the cytoplasm. This micrograph illustrates a cross section through a cilium.
Fig EM012 |
|
The basement membraneBasement membranes are sheet-like structures located between the supporting tissue (connective tissue) and epithelial, muscle or certain other cells types. In this micrograph the basement membrane and its different structures are illustrated.
Fig EM013 |
|
| Memorandum | |||
|---|---|---|---|
| Fig EM001 | Fig EM002 | Fig EM003 | Fig EM004 |
| Fig EM005 | Fig EM006 | Fig EM007 | Fig EM008 |
| Fig EM009 | Fig EM010 | Fig EM011 | Fig EM012 |
| Fig EM013 | |||
|
|
Top | Start |
|---|