|
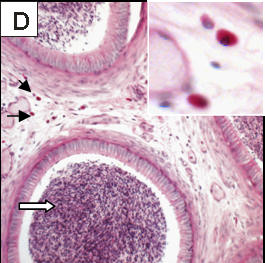
- This coiled duct forms the tail, body and part of the head of the epididymis
- Connective tissue attaches the coils to one another
- The tube is lined by non-ciliated pseudostratified columnar epithelium and long columnar epithelium with stereocilia
- A thin layer of circular smooth muscle surrounds the epithelium
|