back

Respiratory System

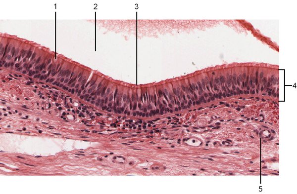
Identify the structures

Identify the structure and epithelium

Identify the epithelium

In which of the two main parts of the respiratory system are these structures located?

This is a diagram of the __________.
The process taking place here is __________.

Microscopic view

Normal lung tissue

What condition is illustrated in this diagram?

back