|
|
|
Fig 13.17
|
Wheater p. 246
|
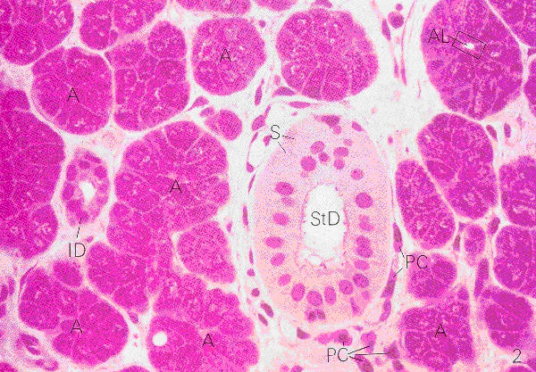
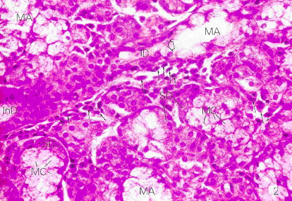
Serous Secretory Units
- The cells of the units appear triangular while the units themselves are round
- The nuclei are round and located close to the cell bases
- The cytoplasm is basophilic near the base (where the nucleus is located) and the rest is acidophilic (due to the secretory vesicles)
- The units are surrounded by myoepithelial cells which are located between the cells of the unit and the basement membrane
- The lumen of the unit is small and inconspicuous
|
Plate 67 (Fig. 2)
|
Ross and Romrell p. 413
|
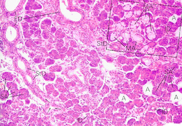
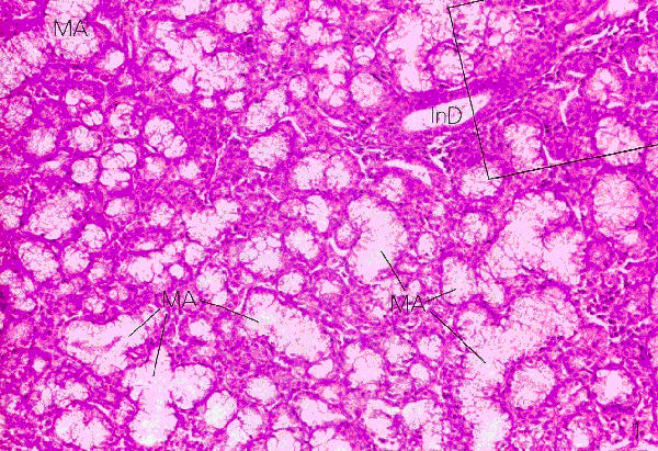
Mucinous Secretory Units
- The units appear larger and paler and in cross-section the cells of the units appear more tubular than round
- The nuclei are flattened and located against the bases of the cells
- The cytoplasm is pale staining due to the mucus that washes out during the preparation of the specimen
- The lumens of the units are large and prominent
|
Plate 66 (Fig. 2)
|
Ross and Romrell p. 411
|
| Differences between mucous and serous units |
|
Serous |
Mucous |
| Staining |
Dark, prominent |
Light, "washed out" |
| Shape of unit |
Round |
Tubular |
| Lumen |
Not visible with LM |
Visible with LM |
| Nuclei of secretory cells |
Round, prominent |
Flattened in base of cell |
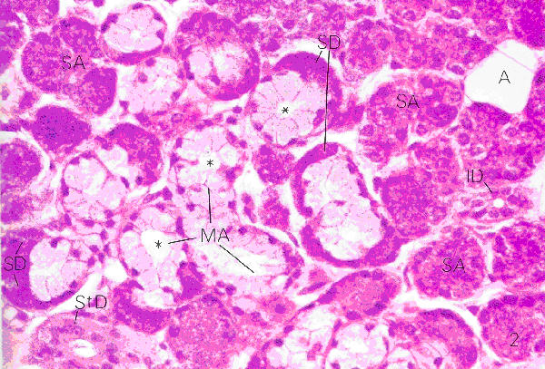
Mixed Secretory Units
- These units consists of serous and mucinous alveoli or a combination thereof mucinous-serous alveolus
- The latter consists of a mucinous alveolus with a serous demilune which secretes into the lumen of the mucinous alveolus via intercellular ductules
|
Plate 68 (Fig. 2)
|
Ross and Romrell p. 415
|
|