back

The Teeth

Structure

  • A tooth has 3 subdivisions:
    1. The crown
    2. The neck
    3. The root
  • It consists mainly of dentine (D) and an enamel (E) layer covers the section that extends above the jaw.
  • The part of the dentine located in the jaw is called the anatomical root and is covered by the cementum (C).
  • Inside the dentine the pulp cavity is found.
  • This cavity narrows towards the apex of the tooth to form the root canal and opens at the apex as the apical foramen.
  • The pulp cavity is filled with connective tissue called the pulp (P).
  • The cavity in the jaw bone (B) in which the root is located is the alveolus and the root is attached to the alveolus by means of the periodontal ligament/membrane (PM).
  • The part of the gums that extends onto the teeth is called the gingiva and the part of the tooth above the gingiva is called the clinical crown.


Cross section showing parts of tooth.
Cross section showing parts of tooth
Sam Fentress, 7 June, 2005. Creative Commons Attribution Share-Alike 2.0.


Vertical section of a tooth in situ
c: the pulp cavity, opposite the neck of the tooth; the part above it is the crown, that below is the root.
1. Enamel with radial and concentric markings.
2. Dentin with tubules and incremental lines.
3. Cement, with bone corpuscles.
4. Periodontal membrane.
5. Mandible.

Vertical section of a tooth in situ
Public domain: 20th U.S. edition - Gray's Anatomy of the Human Body, 1918


Histological sections of teeth

Initial D
  • It is difficult to make histology sections of teeth, as they are so hard (mineralized)
  • In order to visualize the inorganic component of teeth, dried teeth are ground to thin slices. The section appears brown, and the enamel and dentine can now be visualized in detail.
  • In order to visualize the organic component of teeth, they are decalcified. The section appears pink, and the cells and fibres can now be visualized.

Dentine

 
  • Dentine is much harder than bone.
  • It is composed of amorphous ground-substance that calcifies large numbers of collagen fibers and odontoblasts (O).
  • The odontoblasts are arranged against the inner surface of the dentine in the pulp cavity.
  • Odontoblasts have a columnar body with a single long process, dentine fibre of Tomes, that extends through to the enamel in the dentine canal.
  • In the dentine there areas with less inorganic material due to incomplete calcification.
  • Near the dentino-enamel border of the crown the spatia interglobularia is found.
  • Near the dentino-cementum border of the root smaller grainy spaces are found called the granular layer of Tomes.
  • Parallel growth lines, the contour lines of Owen, are also visible in the dentine.

Enamel

 
  • Enamel is the hardest substance in the body.
  • Enamel is composed of the following:
    1. Prisms
      • Long and rod-shaped structure that extend through the entire thickness of the enamel.
      • They are arranged at right angles to the longitudinal axis of the tooth and parallel to one another.
      • In cross-section they appear rectangular.
    2. Interprismatic substance
      • Is located between the prisms.
  • The lines of Retzius are visible as dark lines in the longitudinal section of the tooth.
  • They begin against the dentine and run with the long axis of the tooth and in cross section they appear similar to the age rings of trees.
  • These lines are growth lines that form during the laying down of enamel.
  • Thin sections of dentine may invaginate into the enamel in the shape of spindles and in certain areas the enamel is poorly calcified against the dentine to form tufts.
Longitudinal ground section of a tooth


Medium magnification of a longitudinal ground section of a tooth

Identify the lines of Retzius and dentine canals.


Cementum

 
  • Resembles bone and forms a thin sheath around the anatomical root of the tooth.
  • At the apex of the tooth is becomes thicker than at the crown and it grows appositionally.
  • The upper two-thirds is acellular and the lower third has cementocytes which are located in lacunae within the matrix.


Fig. 10.14

Stevens and Lowe p.150
Key:
AC - acellular cementum
CC - cellular cementum


Pulp cavity and pulp

 
  • The shape of the cavity is the same as the tooth:
    1. A cavity in the crown.
    2. A root canal in the region of the root.
  • The pulp consists of:
    1. Connective tissue that looks like mesenchyme.
    2. Blood vessels.
    3. Nerves.
    4. Odontoblasts.
  • Odontoblasts are found in the pulp cavity, against the dentine.


Fig. 10.8

Stevens and Lowe p.147


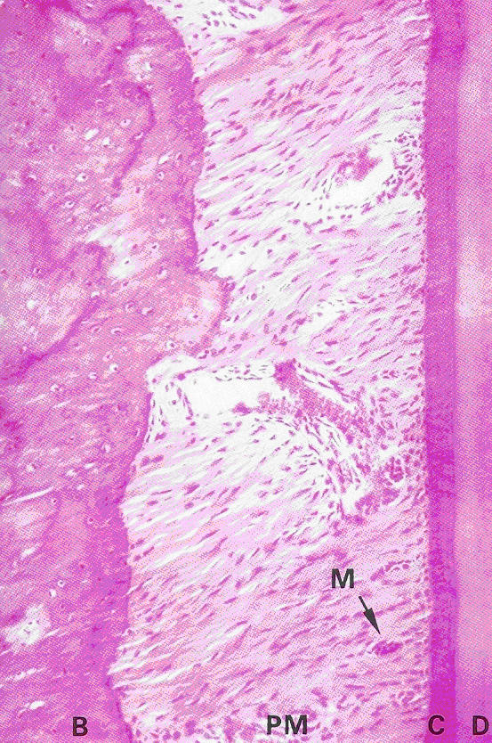
Periodontal ligament

 
  • This ligament/membrane is found around the root of the tooth and attaches the root of the tooth to the alveolus.
  • It consists of connective tissue and the main component are the Sharpey's fibers.
  • These fibers consists of bundles of collagen fibers that are embedded on one side into the cementum and on the other into the alveolar bone.
  • Blood vessels, nerves and fibroblast are present between the fibers.


Fig. 13.8

Young and Heath p. 243


Fig. 13.9

Young and Heath p. 243


Gums and gingiva

 
  • The gingiva is a continuation of the mucosa of the gums and forms a collar around the teeth.
  • The epithelium is keratinised stratified squamous with a large number of tall connective tissue papillae.
  • The lamina propria changes into the periodontal ligament and the periosteum of the alveolus.

Slides

 
Slide   Tissue
Plaatjie 25 Longitudinal section through a decalcified tooth
Plaatjie 23   Cross section of a decalcified tooth
Plaatjie 27 Longitudinal ground section of a tooth
Plaatjie 16 Ground cross section of a tooth
back


© augustus 2007 marius loots