back

The External Ear

Auricle

  • Contains an irregular elastic cartilage plate
  • This plate is covered by subcutaneous connective tissue and thin skin
  • Fine hair, sebaceous and sweat glands are also distributed in the skin
A very low magnification of the ear pinna.

Fig 087-001

External Auditory Canal

  • Extends from auricle to tympanic membrane
  • Is lined with thin skin
  • The lateral third contains:
    1. modified sweat gland (ceruminous glands) with secretary unit with large lumens that are located in the subcutaneous tissue
    2. subcutaneous tissue that is fused with the pericondrium of the elastic cartilage or the periosteum of the bony canal.
  • In the medial third the elastic cartilage is replaced by bone

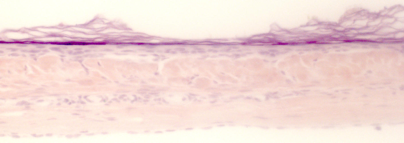
Tympanic Membrane

  • Separates external ear from middle ear
  • Lateral surface covered by thin hairless and glandless skin
  • Medial surface is lined with simple squamous or cuboidal epithelium
  • Between this two layers are:
    1. an outer layer of collagen fibers that is arranged radially
    2. an inner layer of collagen fibers in a circular arrangement
  • The tympanic membrane has two pars:
    1. Pars flaccida - upper part that contains no collagen
    2. Pars tensa - rest of tympanic membrane
Fig. 21.22 Tympanic membrane and ossicle
M - inner mucous layer (cuboidal cells)
C - outer cuticular layer (thin skin)
F - intermediate fibrous layer

Young and Heath p.397

High magnification of the tympanic membrane:
Fig 116.7

back


© maart 2001 - julie 2007 marius loots