back  

Supporting or Connective tissue

 

What is supporting tissue?

  The third germ layer of the embryo, the mesoderm forms during the third week of development. The tissue formed by the mesodermal cells is known as mesenchyme and it is from mesenchyme that the different connective tissues of the body develop. The structural role of connective tissue has been overemphasized at the expense of its metabolic support function in the past and the now most authors rather use the term supporting tissue. Connective tissues are composed of several macromolecules, many of which are also constituents of the lung, the kidney, the walls of blood vessels, the vitreous gel of the eye, and the synovial fluid. Most organs and tissues contain small amounts of the same macromolecules assembled into membranes and septa. Therefore, virtually all structures contain connective tissue.

In contrast to epithelium, which contains no or little extracellular material, supporting tissues consists mainly of extracellular matrix (ECM) in which a few cells are imbedded. The extracellular matrix consists of at least 19 different types of collagens, the related fibrous proteins known as elastin and fibrillin, a series of glycosaminoglycans (GAGs) and extracellular structural glycoproteins.

  • Coetzee et al p67
  • Stevens and Lowe p49-57
  • Wheater p65-67

Traditional classification of connective tissue

 

Ground substance

  Gel-like substance mainly composed of glycosaminoglycans and glycoproteins
  • Glycosaminoglycans consist of large, unbranched polysaccharide chains of repeating disaccharide units
  • Divided into four groups: hyaluronic acid, chondroitin sulphate and dermatan sulphate, heparin and heparan sulphate and keratan sulphate
  • Large open coil confirmation: strongly hydrophilic
  • High negative charge causes retention of water and positive ions

Fibrillar proteins

 
  • Fibronectin: mediates adhesion between cells and extracellular matrix components
  • Fibrillin: main component of microfibrils
  • Elastin: hydrophobic protein which is the main component of elastic fibres
  • Collagen: More than 19 different collagens have been identified. The fibrillar collagens are found in tissues as long, highly ordered fibrils with a characteristic banding pattern by electron microscopy.

    Type I collagen, the most abundant, is found as cross-striated fibrils in a large number of tissues.
    It is composed of two identical alfa-chains called alfa-1(I) and one alfa-2(I) chain.

    Type II collagen, a fibrillar collagen of cartilage, is composed of three identical alfa-chains called alfa-1(II).

    Type III collagen is found in small amounts in many tissues and in large amounts in large blood vessels.
    It is composed of three identical chains called alfa-1(III).

    Reticular fibres (reticulin), thin fibrils of type III collagen, form a loose mesh in many support tissue and are particularly prominent just below the basement membrane. They form a network to support the cells in parenchymal organs like the liver and kidney.

    The nonfibrillar collagens are similar to the fibrillar collagens, but they also contain large globular domains. Self-assembly of most of the nonfibrillar collagens usually involves binding between the globular domains to form networks. For example, the type IV collagen in basement membranes self-assembles into a complex three-dimensional network that provides a diffusion barrier in the renal glomerulus and pulmonary alveolus and provides support for epithelial and endothelial cells in these tissues and in skin, the gastrointestinal tract, and blood vessels.


Structural glycoproteins

 
  • Laminin: major component of basement membranes
  • Entactin: binds laminin to type iv collagen
  • Tenascin: role in cell migration

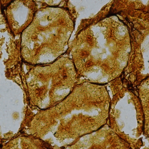
Basement membrane (BM

 

Cell adhesion to ECM

 
  • Hemidesmosome - anchor intermediate filament cytoskeleton to basement membrane (BM)
  • Focal contacts - anchor actin filament cytoskeleton to BM
  • Laminin receptor - anchor cells to laminin in BM

Diseases due to defective support tissues

 
  • Osteogenesis imperfecta - defective collagen formation due to genetic abnormalities
  • Ehlers-Danlos syndromes - mutations in genes for type I collagen
  • Marfan's syndrome - absence of fibrillin
  • Chondrodysplasia - mutations in genes for type II collagen
  • Alport syndrome - glomerular basement thickening
  • Systemic sclerosis - overproduction and accumulation of collagen and other extracellular matrix proteins in skin and other organs

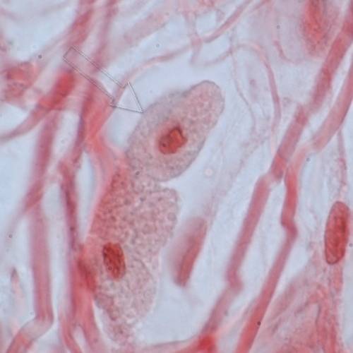
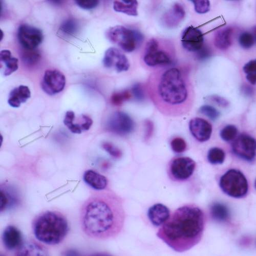
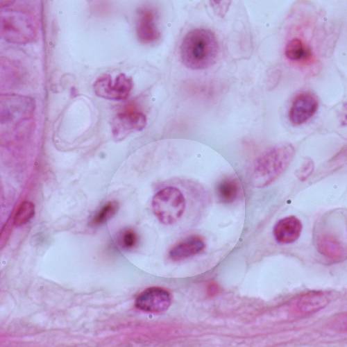
Support cells

 

Composition of different tissues and organs

  Differences in the connective tissues of bone, skin and cartilage are in part explained by differences in the content of specific components. For example,
  • Tendons and ligaments consist primarily of type I collagen fibrils and small amounts of other components that help organize the type I fibrils into fibres and fibre bundles.
  • Cartilage consists primarily of fibrils of type II collagen in the form of arcades that are distended by highly charged GAGs.
  • The extracellular matrix of the aorta contains collagens that provide tensile strength and elastin that provides elasticity.

Differences among the connective tissues also depend on the three-dimensional organization of the molecular components. The type I collagen fibrils in tendon are packed into thick, parallel bundles of fibres, whereas type I collagen fibrils in skin are randomly oriented. In cortical bone, helical arrays of type I collagen fibrils are deposited around haversian canals.


Adipose tissue

  Mammals, including man, feed intermittently but consume energy continuously and use lipids as a temporary storage of energy rich material. Fat or adipose tissue is a type of connective tissue specialised for storage of lipids. There two distinct types of adipose tissue that differ in distribution, vascularity and metabolic function.
  • White adipose tissue
    • Normal body fat
    • Very large spherical cells which may become polyhedral due to deformation
    • Contain single fat droplet with cytoplasm reduced to thin rim net to plasma membrane
    • Nucleus displayed to one side of cell and flattened by accumulated fat
    • Routine histological techniques extract the fat, leaving a large unstained space
    • Adipose tissue may be portioned by connective tissue septa visible to the naked eye

  • Brown adipose tissue
    • Prominent in newborn of all mammals
    • In adults most conspicuous in species which hibernate
    • Present in man throughout life
    • Cells are smaller than those of white adipose tissue
    • Cytoplasm relative abundant and contains lipid droplets of varying size
    • Cytoplasm contains extraordinary large number of mitochondria
    • Brown fat has a lobular organization
    • Highly vascular with blood vessel distribution similar to that of a gland
    • Numerous small unmyelinated nerves with axons ending on cell surface

Connective tissue diseases

 
  • Ehlers-Danlos syndrome - is characterized by hyperelasticity of the skin and hypermobile joints.
  • Marfan syndrome - is characterized by a triad of features:
    1. long, thin extremities frequently associated with other skeletal changes;
    2. reduced vision as the result of dislocations of the lenses (ectopia lentis); and
    3. aortic aneurysms that typically begin at the base of the aorta.
back


© augustus 2002 - julie 2008 marius loots