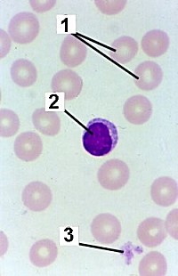
Fig 114-003
A magnification of a blood smear demonstrating lymphocytes.
1. Red blood cells (Erythrocytes)
2. Lymphocyte
3. Blood platelets (Trombocytes)
© desember mm marius loots