back
Fig 103-002
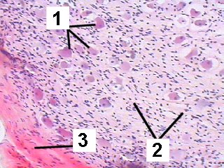
A low magnification of a sympathetic ganglion demonstrating the different structures.
Fig 103-002 1. Sympathetic neurons
2. Nerve fibers
3. Dense connective tissue capsule
back


© mei mm marius loots