| Scalp | Slide 95 (H & E) |
|
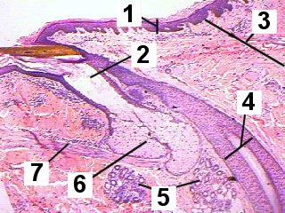
This is a very low magnification illustrating the layers, hair follicles, sebaceous glands and sweat glands.
Fig 95-002 |
|
A low magnification of a cross section through the scalp demonstrating the different structures that are present.
Fig 95-003 |
|
A higher magnification of a cross section through the scalp demonstrating the structure of sebaceous glands.
Fig 095-004 |
|
A low magnification of the scalp demonstrating the structure of hair follicles.
Fig 095-005 |
|
A very high magnification of a cross section through a hair follicle.
Fig 095-006 |
| Memorandum | ||
|---|---|---|
| Clinical Case | Fig 95-002 | Fig 95-003 |
| Fig 95-004 | Fig 95-005 | Fig 95-006 |
© junie mm marius loots