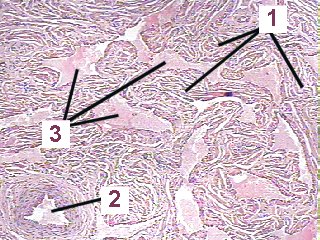
Fig 83-002
This is a very high magnification of the penis demonstrating erectile tissue.
1. Trabecula with smooth muscle and loose connective tissue
2. Blood vessel
3. Blood spaces lined with endothelium
© februarie mmi marius loots