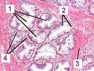
Fig 80-001
This is a higher magnification of the glandular tissue of the prostate.
1. Glandular alveoli
2. Pseudostratified columnar epithelium
3. Smooth muscle fibers
4. Loose connective tissue
© februarie mmi marius loots