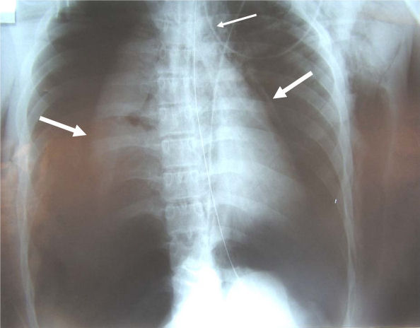
Bilateral pneumothorax
Source: Le Guen et al. Critical Care 2007 11:R94 doi:10.1186/cc6109 Date: 3 September 2007 Author: Morgan Le Guen, Catherine Beigelman, Belaid Bouhemad, Yang Wenjïe, Frederic Marmion Licence: