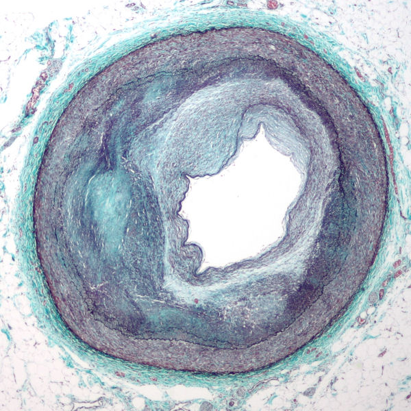
Arteries have three layers (tunica intima, tunica media and tunica adventitia):
- Adventitia (outermost layer) = green fluffy material (collagen)
- Media (middle (muscular) part) = red (smooth muscle actin)
- Intima (inner part, in contact with the blood) = green (collagen) with some red (smooth muscle actin)
Features of atherosclerosis seen on the micrograph:
- The tunica intima is severely thickened; it measures up to approximately 1/3 of a millimetre. Normally, it is one cell layer thick (approximately 10 micrometres).
- There is fragmentation of the internal elastic lamina (a very thin black wavy layer) between the intima and media.
- There is a partial duplication of the internal elastic lamina.
- There is smooth muscle infiltration of the intima (from the media), i.e. red staining of the intima.
- There is significant luminal narrowing. The section of the artery shown has only 25-35% of the cross-sectional area it once had; the artery's original lumen was approximately where the double layer of elastin is seen (the internal elastic lamina).
|