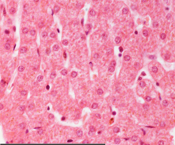
High magnification of the central vein
Kerne van hepatosiete / Nuclei of hepatocytes Galkanalikuli / Bile canaliculi Kupffersel / Kupffer cell Rooibloedsel / Red blood cell Endoteel / Endothelium
Date: 8 Januarie 2008