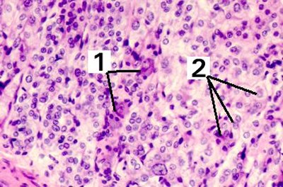
Fig 56-004
This is a high magnification of the medulla of the adrenal gland.
1. Ganglion cells
2. Chromaffin cells
© februarie mmi marius loots