back
Fig 50-003
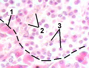
This is a very high magnification of the pancreas demonstrating the fine structure of the Island of Langerhans, the endocrine pancreas.
Fig 50-003 1. Border between the exocrine and endocrine pancreas
2. Blood vessel with red blood cells visible
3. Island cells
back

© mei mm marius loots