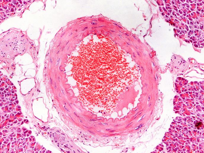
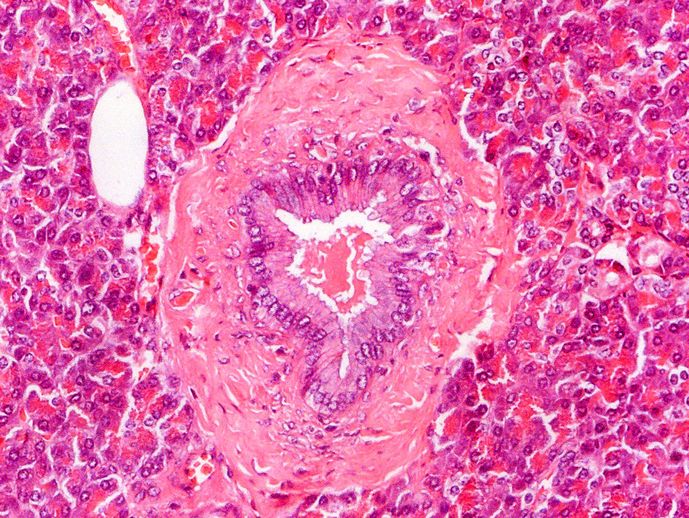
Small blood vessel vs Duct

back

Blood vessel are lined with endothelium which consists of squamous cells. This artery still contains red blood cells in the lumen. This is not always the case. An elastic lamina is visible. Spindle-shaped nuclei of smooth muscle fibres are clearly visible in the wall of the artery. The artery is surrounded by adventitia.
Arround the artery are a few small veins and several nerve fibres.

The duct is lined with a low columnar epithelium. The wall of the duct consists of connective tissue. The duct lies embedded in the surrounding exocrine pancreas.

back
Source: Self
Author: Marius Loots
Licence: Copyright


© september 2018 marius loots