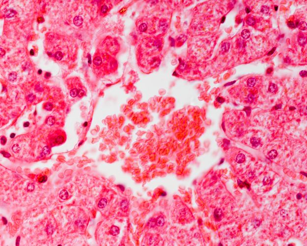
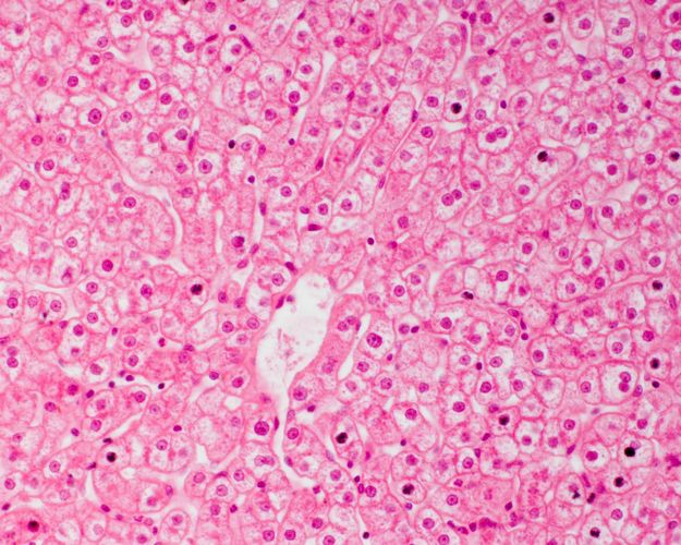
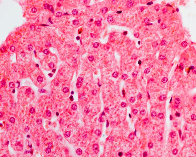
Distribution of reticular fibres in the liver

Reticular fibres surround and support liver parenchyme. It is important to remember that fibres are extracellular components of connective tissue, and is thus found outside of cells.

A selection of slides stained with haematoxillin and silver respectively is presented on this page. Compare the location of the extracellular reticular fibres with the location of the nuclei of the liver parenchyme. Several magnitudes of magnification are available, progressing from low at the top of the page to high at the bottom. The regions around the central vein and portal triad can also be compared.

back

Image 1

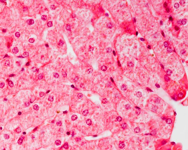
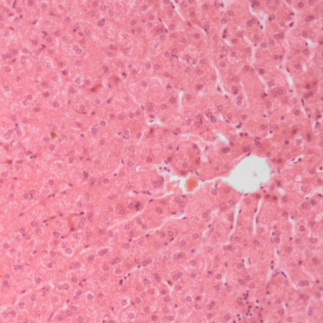
Standard haematoxillin stain of liver tissue

Source: Self
Author: Marius Loots
Licence: Copyright

Image 2

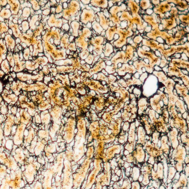
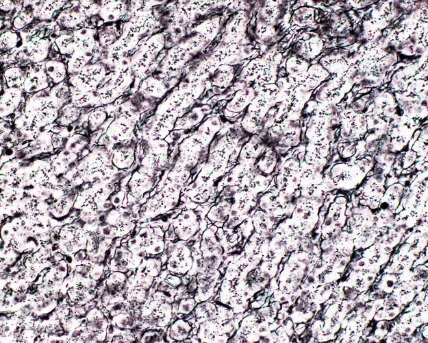
Liver stained with silver to show reticular fibres

Source: Self
Author: Marius Loots
Licence: Copyright

Haematoxillin stained liver Silver stained liver

back

Image 1

Standard haematoxillin stain of liver tissue

Source: Self
Author: Marius Loots
Licence: Copyright

Image 2

Liver stained with silver to show reticular fibres

Source: Self
Author: Marius Loots
Licence: Copyright

Silver stained liver Haematoxillin stained liver

back

Image 1

Standard haematoxillin stain of liver tissue

Source: Self
Author: Marius Loots
Licence: Copyright

Image 2

Liver stained with silver to show reticular fibres

Source: Self
Author: Marius Loots
Licence: Copyright

Silver stained liver Haematoxillin stained liver

back

Image 1

Standard haematoxillin stain of liver tissue

Source: Self
Author: Marius Loots
Licence: Copyright

Image 2

Liver stained with silver to show reticular fibres

Source: Self
Author: Marius Loots
Licence: Copyright

Haematoxillin stained liver Silver stained liver

back

Image 1

Standard haematoxillin stain of liver tissue

Source: Self
Author: Marius Loots
Licence: Copyright

Image 2

Liver stained with silver to show reticular fibres

Source: Self
Author: Marius Loots
Licence: Copyright

Haematoxillin stained liver Silver stained liver

back

Image 1

Standard haematoxillin stain of liver tissue

Source: Self
Author: Marius Loots
Licence: Copyright

Image 2

Liver stained with silver to show reticular fibres

Source: Self
Author: Marius Loots
Licence: Copyright

Haematoxillin stained liver Silver stained liver

back

Image 1

Standard haematoxillin stain of liver tissue

Source: Self
Author: Marius Loots
Licence: Copyright

Image 2

Liver stained with silver to show reticular fibres

Source: Self
Author: Marius Loots
Licence: Copyright

Haematoxillin stained liver Silver stained liver

back

Image 1

Standard haematoxillin stain of liver tissue

Source: Self
Author: Marius Loots
Licence: Copyright

Image 2

Liver injected with blue stain to show distribution of blood vessels

Source: Self
Author: Marius Loots
Licence: Copyright

Haematoxillin stained liver Haematoxillin stained liver

back

Image 1

Liver stained with silver to show reticular fibres

Source: Self
Author: Marius Loots
Licence: Copyright

Image 2

Liver injected with blue stain to show distribution of blood vessels

Source: Self
Author: Marius Loots
Licence: Copyright

Silver stained liver Haematoxillin stained liver
back
Source: Self
Author: Marius Loots
Licence: Copyright
© september 2018 marius loots