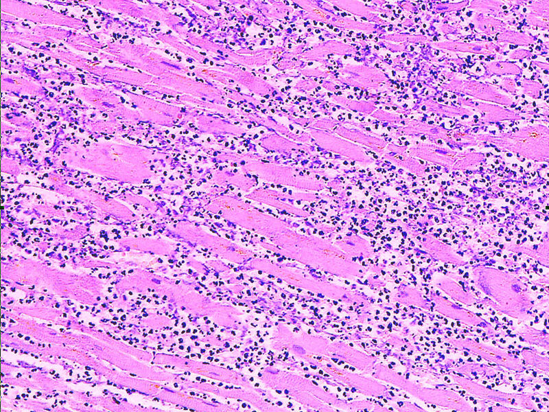
back myocardial infarct
Help Histoweb

Source: Myocardial infarct emmolition phase histopathology.jpg
Licence: Public domain

back

X   Y

© januarie 2010 marius loots