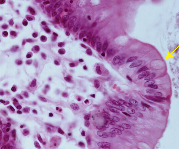
Hoë vergroting van die kolon
High magnification of the colon
© mei 2007 marius loots