back
Fig 34-001
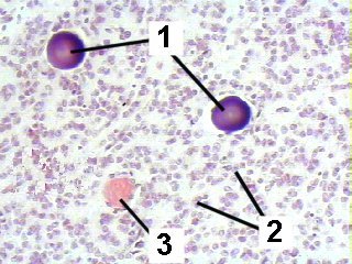
This is a high magnification of the pineal gland demonstrating the different cells and structures.
Fig 34-001 1. Pineal sand
2. Pinealocytes and neuroglia
3. Blood vessel
back


© februarie mmi marius loots