Osteoclast progenitor cells
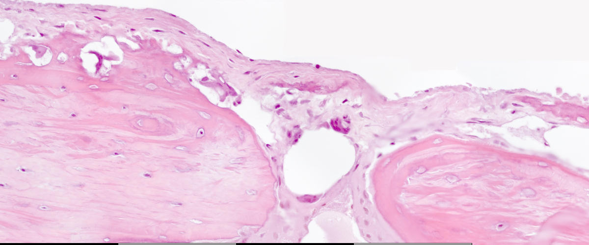
Bloedvat / Blood vessel Osteoklast voorloperselle / Osteoclast progenitor cells Osteoklast / Osteoclast Osteoblaste / Osteoblasts Beensplinters / Bone spicules Osteosiete / Osteocytes Lakunae / Lacunae Aktiewe hermodulering / Area of active remodelling
Date: 18 September 2009
© oktober 2009 marius loots