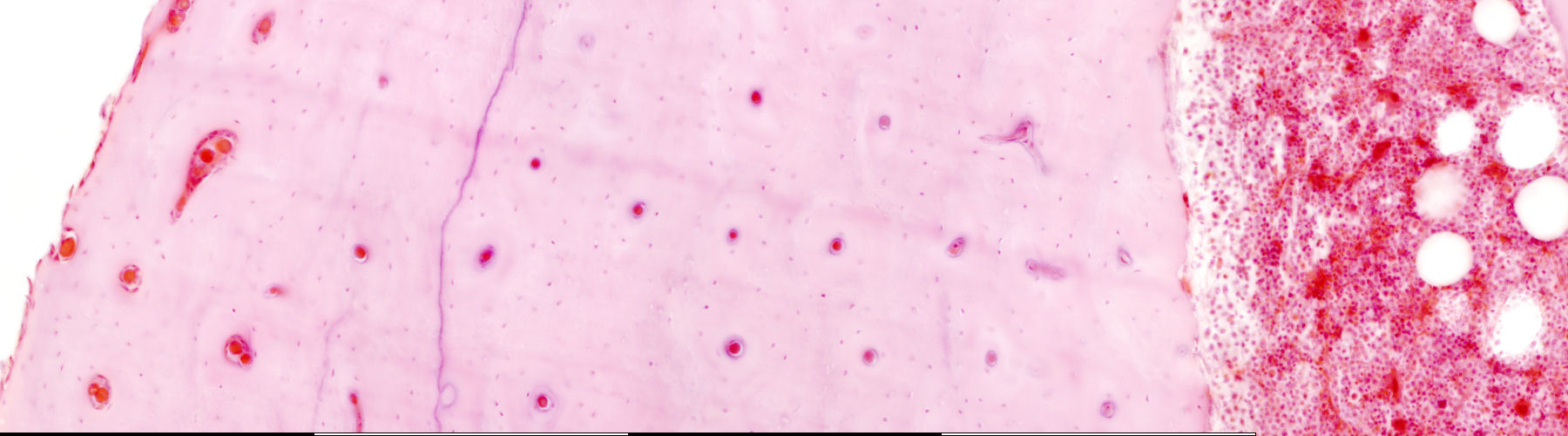
High magnification of decalcified bone
Groeilyne / Growth reversal lines Osteon / Osteon Haverse kanaal / Haversian canal Volkmann kanale / Volkmann's canal Volkmann kanaal verbind met Haverse kanaal / Volkmann's canal connecting to a Haversian canal Beenmurg / Bone marrow
Date: 4 Augustus 2009
© september 2009 marius loots