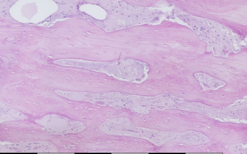
Bone-remodeling unit
Beenhermoduleringseenheid / Bone-remodeling unit Beenhermoduleringseenheid / Bone-remodeling unit Osteoklaste / Osteoclasts Howship lakunae / Howship's lacunae Oorblyfsel van Howship lakunae / Remains of Howship's lacunae Laag van osteoblaste / Layer of osteoblasts Snykonus: osteoklaste / Cutting cone: osteoclasts Vulkonus: osteoblaste / Filling cone: osteoblasts
Date: 17 September 2009
© mei 2008 marius loots