| Fig 11-008 | |
|---|---|
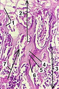
| A magnification of a section through the metaphysis of the epiphysial plate of a long bone demonstrating the bottom functional and morphological stages of the six of endochondral bone development. | |
|
1. Cartilage trabeculae 2. Ossification zone 3. Resorption zone 4. Basophilic stained cartilage trabecula 5. Osteocytes 6. Eosinophylic stained newly deposited bone 7. In growing blood vessel |