| Fig 11-003 | |
|---|---|
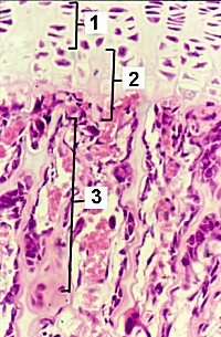
| A magnification of a section through the metaphysis of the epiphysial plate of a long bone demonstrating the bottom middle functional and morphological stages of the six of endochondral bone development. | |
|
1. Maturation zone 2. Calcification zone 3. Ossification zone |